Premium 3D Exosome Products

Our high-quality exosome products are designed for research excellence and clinical applications.

3D Exosomes Techniques

Technique for Periodontal papilla regeneration

Technique for Periodontal papilla regeneration without bone grafting or flap surgery using 3D Exosomes and Polypeptide 3D Exosome Media (PEM) Paste

When treating atrophied periodontal papilla, leveraging the regenerative potential of 3D exosomes and Polypeptide 3D Exosome Media (PEM), tissue regeneration techniques can significantly enhance esthetics.

  • Using 3D exosome-functionalized PEM paste for atrophied papilla offers a non-invasive approach to inhance healing and soft tissue regeneration
  • By combining 3D exosome functionalized PEM Paste and direct 3D exosome placement at the mucogingingival line, clinicians can create a conducive environment for soft tissue generation.
  • Improve the success of amplifying atrophied papilla.
Read the full documentation Insurance codes and documentation requirements for periodontal papilla regeneration
PEM and 3D Exosome Prepared

PEM and 3D Exosome Prepared

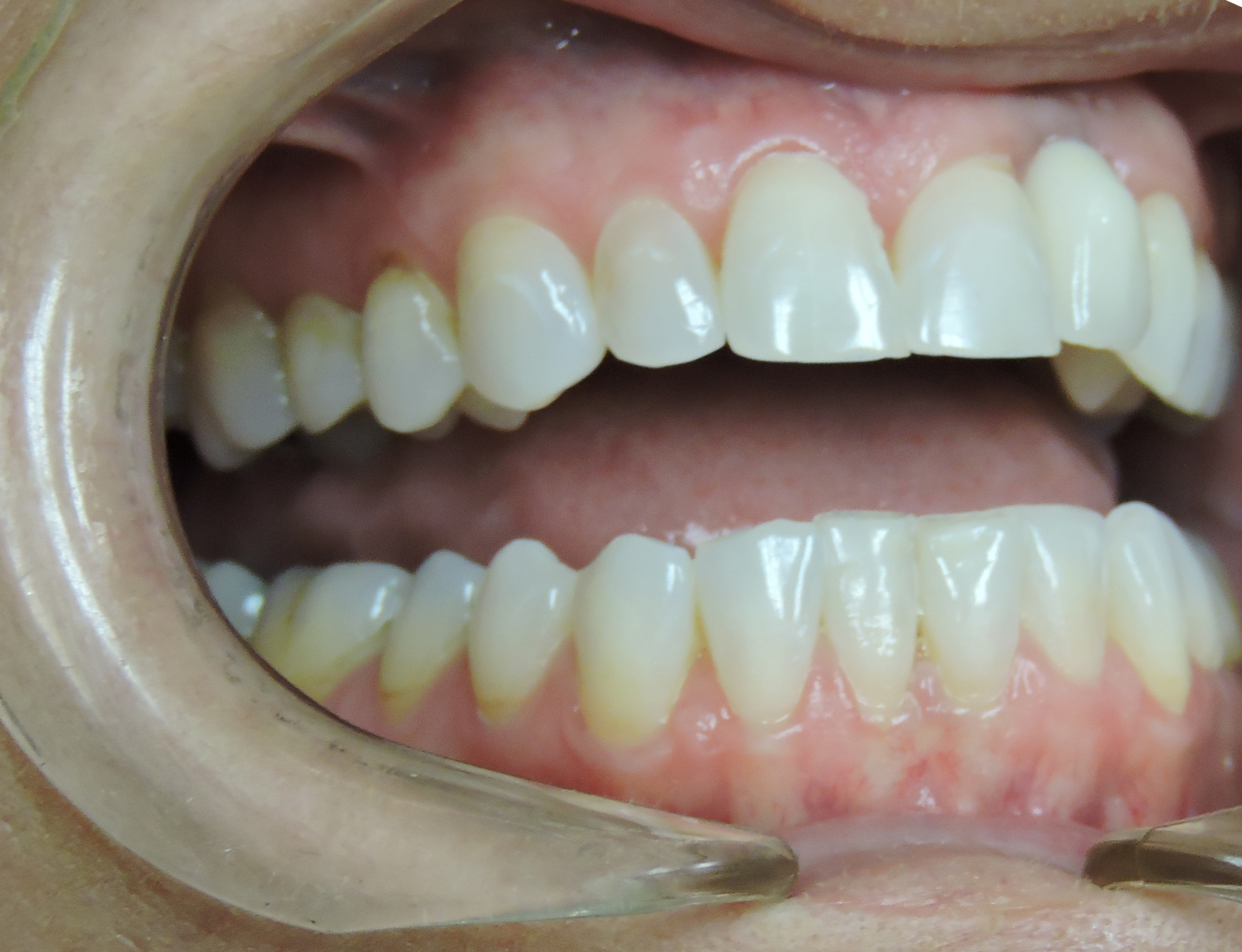
Pre-treatment

Pre-treatment

Papilla regeneration isolation

Papilla regeneration isolation

Papilla regeneration

Papilla regeneration

Treatment of Periodontal Pockets

Technique for treating Periodontal Pockets without bone grafting or flap surgery using 3D Exosomes and Polypeptide 3D Exosome Media (PEM) Paste

When treating localized periodontal pockets, leveraging the regenerative potential of 3D exosomes and tissue regeneration techniques can significantly enhance healing.

  • Using 3D exosome-functionalized PEM Paste for localized periodontal pockets offers a non-invasive approach to enhance healing and soft tissue regeneration
  • By combining 3D exosome-functionalized PEM Paste and direct 3D exosome placement at the mucogingival line clinicians can create a conducive and inductive environment for soft tissue/bone regeneration
  • Improve the treatment success rates of localized periodontal pockets
Read the full documentation Insurance codes and documentation for Periodontal Pocket Reduction
Pre-treatment

Pre-treatment

Product 2

PEM and 3D Exosome Prepared

Isolation for PEM Placement

Isolation for PEM and Placement

PEM paste placement in sulcus

PEM paste placement in sulcus

PEM pase placement in sulcus

PEM paste placement in sulcus

3D Exosome Injection

3D Exosome Injection